Digital konstruierte Kronen und Brückengerüste werden hochpräzise und computergestützt maschinell gefräst. Die so hergestellten Gerüste aus Zirkon, Nichtedelmetall oder Kunststoff dienen als Grundlage weiterer ästhetischer Zahnrekonstruktionen.

CAD / CAM

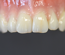
Um anspruchsvolle ästhetische Lösungen im Bereich des festsitzenden Zahnersatzes zu realisieren, nutzen wir Hochleistungs-Press- und Schichtkeramiken. Veneers, Keramikinlays, Einzelkronen und Brückenversorgungen bis hin zur »Full Mouth« (Komplett) Restauration werden so individuell hergestellt.

Keramik

Implantate dienen als künstliche Zahnwurzel, auf denen sich beispielsweise traditionell gefertigte Kronen, Brücken und Prothesen befestigen lassen. Die Versorgung erfolgt unter Verwendung von konfektionierten, individuell gegossenen oder aus Zirkon gefrästen Aufbauten.

Implantate / Gold

Zur Herstellung prothetischer Versorgungen wie Total-, Interimsprothesen und kombinierten Arbeiten verwenden wir hochwertige Kunststoffe und Komposite. Auch alle Schienenarten stellen wir individuell für jede Problematik her.

Kunststoff / Komposit

Das Zebrissystem registriert die Kieferstellung und seine Bewegungen mit Hilfe von Ultraschall-Sensoren. So können Fehlfunktionen und Fehlstellungen des Kiefergelenks erkannt werden, die sich oftmals auch im Nacken-, Schulter- und Rückenbereich bemerkbar machen. Die computergestützten Informationen lassen eine Diagnose zu und ermöglichen die richtige Therapie.

Kiefergelenksdiagnostik